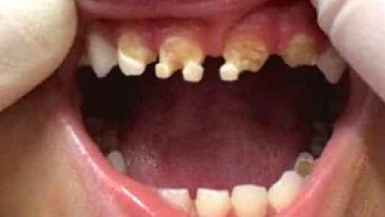
Klingt ausgedacht? Ist es aber nicht: Forscher in Japan testen derzeit ein neues Medikament, das einen dritten Satz Zähne nachwachsen lassen soll. Für Kinder könnte das Arzneimittel bereits 2030 erhältlich sein.<br /><br />Mehr dazu hier: https://www.news.de/gesundheit/859109201/x<br />Lass doch ein Abo da, um kein Video zu verpassen! <br /><br />Hier geht's zu unseren Social-Media-Kanälen: <br /><br />https://www.facebook.com/News.de/<br />https://www.instagram.com/newsde<br />https://www.tiktok.com/@news.de.official<br />https://www.snapchat.com/@newsdevideo<br /><br />#news #zähne #zahngesundheit #gesundheit
Bald für Kinder erhältlich: Dieses neue Medikament kann Zähne nachwachsen lassen
Bald für Kinder erhältlich: Dieses neue Medikament kann Zähne nachwachsen lassen
Covid-19: Kann uns dieses Medikament schon jetzt schützen?
Covid-19: Kann uns dieses Medikament schon jetzt schützen?
Dieses Tattoo rettet Leben - man kann es sich kostenlos stechen lassen
Dieses Tattoo rettet Leben - man kann es sich kostenlos stechen lassen
Dieses Baby spielt mit einem sehr geduldigen Hund. Dieses Duo wird Sie dahinschmelzen lassen!
Dieses Baby spielt mit einem sehr geduldigen Hund. Dieses Duo wird Sie dahinschmelzen lassen!
Dieses kleine Mädchen ist erst 2 Monate alt. Doch für dieses Alter kann sie schon die schönsten Dinge sagen.
Dieses kleine Mädchen ist erst 2 Monate alt. Doch für dieses Alter kann sie schon die schönsten Dinge sagen.
Covid-19: Dieses umstrittene Medikament soll gegen das Coronavirus helfen
Covid-19: Dieses umstrittene Medikament soll gegen das Coronavirus helfen
Loch in der Nase: Junge Frau verliert Geruchssinn, weil sie dieses rezeptfreie Medikament verwendet
Loch in der Nase: Junge Frau verliert Geruchssinn, weil sie dieses rezeptfreie Medikament verwendet
Medikament gegen Alzheimer: Zulassung in Deutschland vielleicht noch dieses Jahr!
Medikament gegen Alzheimer: Zulassung in Deutschland vielleicht noch dieses Jahr!
Krebs: Dieses einfache Medikament könnte die Sterblichkeit um 20 % senken
Krebs: Dieses einfache Medikament könnte die Sterblichkeit um 20 % senken
Diese Liebesgeschichte ist bewegend. Sie zeigt uns, dass nichts auf der Welt dieses Gefühl übertreffen kann.
Diese Liebesgeschichte ist bewegend. Sie zeigt uns, dass nichts auf der Welt dieses Gefühl übertreffen kann.
Dieses Kind hat vom Zucker ganz schlechte Zähne bekommen!
Dieses Kind hat vom Zucker ganz schlechte Zähne bekommen!
Neue Erfindung: Dieses Gerät soll Migräne innerhalb von Sekunden verschwinden lassen
Neue Erfindung: Dieses Gerät soll Migräne innerhalb von Sekunden verschwinden lassen
Von diesen zwei Schoko-Männern musst du dieses Jahr UNBEDINGT die Finger lassen!
Von diesen zwei Schoko-Männern musst du dieses Jahr UNBEDINGT die Finger lassen!
Dieses Kätzchen will den Hund um alles in der Welt nicht in Ruhe schlafen lassen
Dieses Kätzchen will den Hund um alles in der Welt nicht in Ruhe schlafen lassen
Dieses Selfie wird dir das Blut in den Adern gefrieren lassen
Dieses Selfie wird dir das Blut in den Adern gefrieren lassen
Dieses Kätzchen will den Husky einfach nicht fressen lassen
Dieses Kätzchen will den Husky einfach nicht fressen lassen
Von Donald Trump gedemütigt: Dieses Familienmitglied will seinen Namen ändern lassen
Von Donald Trump gedemütigt: Dieses Familienmitglied will seinen Namen ändern lassen
Wegen Inflation: Gibt es dieses Angebot für Bier bald nicht mehr?
Wegen Inflation: Gibt es dieses Angebot für Bier bald nicht mehr?
Dieses System wird getestet und wird euch bald erfreuen!
Dieses System wird getestet und wird euch bald erfreuen!
Dieses Tier kann sogar Haie töten
Dieses Tier kann sogar Haie töten
Wie kann dieses Ding fliegen? Airbus präsentiert den Beluga XL
Wie kann dieses Ding fliegen? Airbus präsentiert den Beluga XL
Dieses Pferd wäre sehr bald an Hunger gestorben. Aber eine Frau hat es bei sich aufgenommen.
Dieses Pferd wäre sehr bald an Hunger gestorben. Aber eine Frau hat es bei sich aufgenommen.
Das Gerücht ist wahr: Dieses beliebte Getränk kann euren Corona-Schnelltest verfälschen
Das Gerücht ist wahr: Dieses beliebte Getränk kann euren Corona-Schnelltest verfälschen
Noch dieses Jahr: Galeria Kaufhof und Karstadt gibt es bald nicht mehr
Noch dieses Jahr: Galeria Kaufhof und Karstadt gibt es bald nicht mehr
Nach unschönen Kindheitserfahrungen kann sich dieses Orang-Utan-Baby nun endlich artgerecht entfalten
Nach unschönen Kindheitserfahrungen kann sich dieses Orang-Utan-Baby nun endlich artgerecht entfalten
Cristiano Ronaldos neue Luxus-Villa: Bald ist er Nachbar dieses MMA-Superstars
Cristiano Ronaldos neue Luxus-Villa: Bald ist er Nachbar dieses MMA-Superstars
Donald Trump : USA bald ein Überwachungsstaat? Dystopie-Alarm wegen dieses Plans
Donald Trump : USA bald ein Überwachungsstaat? Dystopie-Alarm wegen dieses Plans
Dieses beliebte Lippenprodukt gibt es bald nicht mehr bei dm und Rossmann!
Dieses beliebte Lippenprodukt gibt es bald nicht mehr bei dm und Rossmann!
Auf dieses Frauenrecht könnte in den USA bald die Todesstrafe stehen
Auf dieses Frauenrecht könnte in den USA bald die Todesstrafe stehen
Dieses ökologische Haus kann man in nur 5 Tagen selber zusammenbauen und kostet nur 22.000 Euro!
Dieses ökologische Haus kann man in nur 5 Tagen selber zusammenbauen und kostet nur 22.000 Euro!
Esmeralda: Dieses U-Boot kann Päckchen ausliefern und gleichzeitig Plastik einsammeln
Esmeralda: Dieses U-Boot kann Päckchen ausliefern und gleichzeitig Plastik einsammeln
Dieses Orang-Utan-Baby wurde ein Jahr lang in einem Hühnerkäfig gehalten und weiß nicht mal wie er klettern kann
Dieses Orang-Utan-Baby wurde ein Jahr lang in einem Hühnerkäfig gehalten und weiß nicht mal wie er klettern kann
Dieses neue Accessoire könnte bald die Zukunft der virtuellen Realität sein
Dieses neue Accessoire könnte bald die Zukunft der virtuellen Realität sein
Dieses junge Mädchen ist mit einem tragischen Schicksal belastet... eine Geschichte, die nur allzu leicht einem jeden von uns passieren kann
Dieses junge Mädchen ist mit einem tragischen Schicksal belastet... eine Geschichte, die nur allzu leicht einem jeden von uns passieren kann
Dieses wichtige Versprechen hat William seiner Mutter kurz vor ihrem Tod gemacht. Nun hofft er, es bald einzulösen
Dieses wichtige Versprechen hat William seiner Mutter kurz vor ihrem Tod gemacht. Nun hofft er, es bald einzulösen
Gennady Golovkin kann durch dieses Training mehr Schläge einstecken
Gennady Golovkin kann durch dieses Training mehr Schläge einstecken
Dieses Symptom kann auf eine Infektion mit der indischen Variante hindeuten
Dieses Symptom kann auf eine Infektion mit der indischen Variante hindeuten
Dieses Utensil kann Wunder bei der Reinigung Ihres Hauses bewirken; VIDEO
Dieses Utensil kann Wunder bei der Reinigung Ihres Hauses bewirken; VIDEO
Dieses Eselchen schmust gern mit der jungen Dame... es kann gar nicht mehr aufhören!
Dieses Eselchen schmust gern mit der jungen Dame... es kann gar nicht mehr aufhören!
Behörde warnt: Dieses Verhütungsmittel kann im Körper von Frauen brechen
Behörde warnt: Dieses Verhütungsmittel kann im Körper von Frauen brechen
Glasner: 'Europa kann sich auf dieses Finale freuen'
Glasner: 'Europa kann sich auf dieses Finale freuen'
Dieses kleine Mädchen, dem beide Beine amputiert wurden, kann dank ihres Hundes wieder lächeln.
Dieses kleine Mädchen, dem beide Beine amputiert wurden, kann dank ihres Hundes wieder lächeln.
League of Legends: Fnatic ist dieses Jahr das einzige Team, das es mit SKT aufnehmen kann
League of Legends: Fnatic ist dieses Jahr das einzige Team, das es mit SKT aufnehmen kann
Dieses Klo kann Ernährungstipps geben
Dieses Klo kann Ernährungstipps geben
Deshalb kann dieses Dokument Katzes Karriere zerstören!
Deshalb kann dieses Dokument Katzes Karriere zerstören!
Triatoma: Dieses Insekt kann richtig gefährlich werden
Triatoma: Dieses Insekt kann richtig gefährlich werden
Dieses Trainingprogramm kann man zuhause ohne Geräte machen
Dieses Trainingprogramm kann man zuhause ohne Geräte machen
Wissen die wenigsten: Dieses kleine Vergehen im Straßenverkehr kann teuer werden
Wissen die wenigsten: Dieses kleine Vergehen im Straßenverkehr kann teuer werden
Entsetzen in den USA: Todesstrafe bald für dieses Frauenrecht
Entsetzen in den USA: Todesstrafe bald für dieses Frauenrecht
Als sie erfährt wer dieses Baby wirklich ist, kann sie nicht mehr an sich halten! Ihre Reaktion geht unter die Haut!
Als sie erfährt wer dieses Baby wirklich ist, kann sie nicht mehr an sich halten! Ihre Reaktion geht unter die Haut!